Accessible Version
Dual Arc Dental

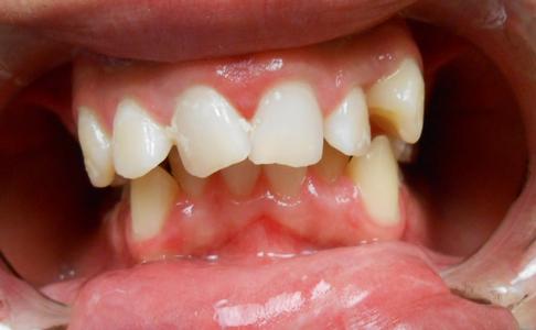
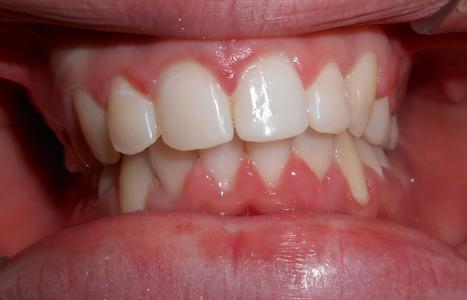
Orthodontic Braces Results: Before and After Gallery

Our first video review
Ready to book an appointment?
If you have difficulty using our website, please email us or call us at (210) 375-5256
View the ADA Accessibility Statement