Accessible Version
Dual Arc Dental

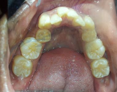
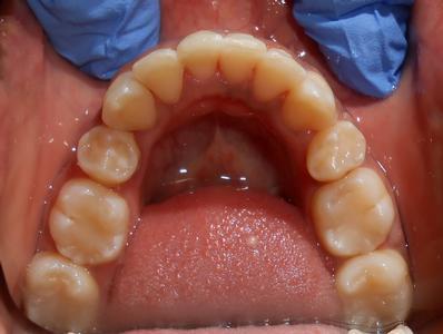
Dental Braces Smile Transformation: Patient Case Study

from three months to about a year

Our first video review
Ready to book an appointment?
If you have difficulty using our website, please email us or call us at (210) 375-5256
View the ADA Accessibility Statement