Accessible Version
Dual Arc Dental

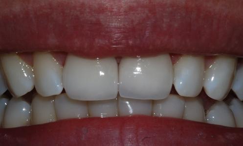
Broken Front Tooth

Patient with broken front tooth. Smile created with two porcelain veneers

Related Services:

Cosmetic Dentistry
Our first video review
Ready to book an appointment?
If you have difficulty using our website, please email us or call us at (210) 375-5256
View the ADA Accessibility Statement